\n

Free download RD Sneak Peek | Opal Multiplex and Simulated HE on The Same Tissue Section video and edit with RedcoolMedia movie maker MovieStudio video editor online and AudioStudio audio editor onlin

This is the free video RD Sneak Peek | Opal Multiplex and Simulated HE on The Same Tissue Section that can be downloaded, played and edit with our RedcoolMedia movie maker MovieStudio free video editor online and AudioStudio free audio editor online

VIDEO DESCRIPTION:

Play, download and edit the free video RD Sneak Peek | Opal Multiplex and Simulated HE on The Same Tissue Section.

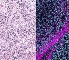
In today’s clinical research laboratories, available tissue samples are both smaller in size and more in demand for a variety of assays to help researchers make informed decisions and spatial discoveries. The very cornerstone of tissue histopathology – the H&E stain – is the first crucial step to help map out the morphological landscape. Here, Akoya Biosciences describes a technique in which a tissue sample is stained with a modified H&E stain prior to the application of an Opal Multiplex assay on the same slide, as a screening tool and efficient and effective way to maximize your precious samples.

Download, play and edit free videos and free audios from RD Sneak Peek | Opal Multiplex and Simulated HE on The Same Tissue Section using RedcoolMedia.net web apps

Ad